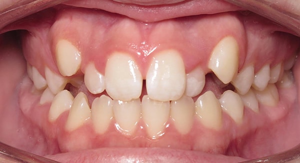
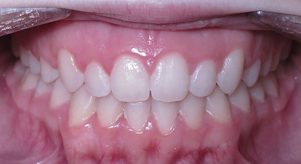
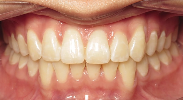
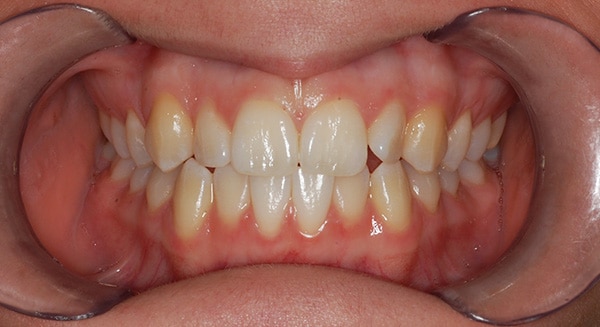
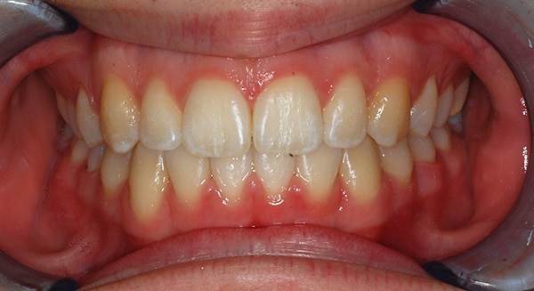
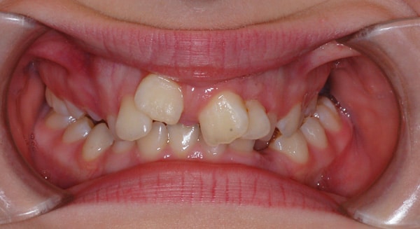
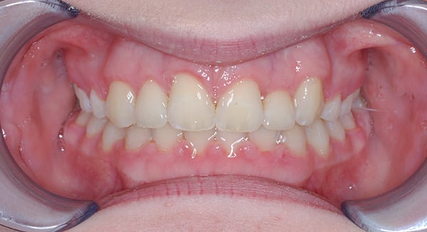
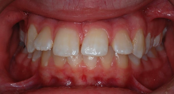
SMILE GALLERY
Real Treatment Results From Our Patients In And Around Chattanooga, TN
Transforming our patients’ smiles into the smiles of their dreams!
Keeping our patients’ smiles healthy, bright and beautiful.
Here are just a few of our smile transformations from our amazing patients! We love seeing their happy smiles, and we’re even more elated to see how much their confidence grows throughout their treatment! Browse our Smile Gallery and if you’re ready to transform your own smile, request your appointment today!
























